check

LN Cytology Workshop Day 1 Quiz

Test yourself to see how much you learned!

If you did not attend the live session, you will receive 1 "anytime" RACE credit after passing this quiz with 70% or higher.

Click the button below to start.

Start

Question 1 of 5

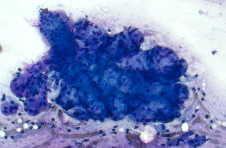
Your patient arrives at the clinic with a swelling in the mandibular area. You are not certain if this is a lymph node or salivary gland by palpation, so you aspirate it. Here is your aspirate. What is this structure?

 

A

This is non-diagnostic cellular garbage

B

Salivary gland

C

Lymph node

Question 2 of 5

When assessing whether a cell is intact enough, you want to look for:

A

Intact cytoplasmic borders

B

Prominent nucleoli

C

Cytoplasmic vacuoles

Question 3 of 5

Which of the following preparation techniques gives the most reliably diagnostic results?

A

Squash/smear technique

B

Scratch/starfish technique

C

Spray technique

Question 4 of 5

Which of the following is NOT a cytologic feature of reactive lymph nodes?

A

Increased numbers of plasma cells

B

Mott cells

C

>75% large lymphocytes

Question 5 of 5

What is one way to increase the sharpness of your field when viewing a sample at 40x?

A

Blow on the slide

B

Use a coverslip

C

Turn the light on the microscope up to max brightness

Confirm and Submit