check

LN Cytology Workshop Day 2 Quiz

Test yourself to see how much you learned!

If you did not attend the live session, you will receive 1 "anytime" RACE credit after passing this quiz with 70% or higher.

Click the button below to start.

Start

Question 1 of 5

Which of the following would NOT be expected to cause eosinophilic inflammation in a lymph node?

A

Paraneoplastic response to mast cell tumor

B

Trauma

C

Hypersensitivity reaction such as atopy

Question 2 of 5

Which of the following dimorphic fungal infections exhibits narrow-based budding?

A

Cryptococcus

B

Blastomyces

C

Histoplasma

Question 3 of 5

Which of the following organisms appears as a non-staining rod cytologically?

A

Toxoplasma

B

Histoplasma

C

Mycobacterium

Question 4 of 5

Which of the following is a type of algae that may affect lymph nodes?

A

Pythium

B

Prototheca

C

Cryptococcus

Question 5 of 5

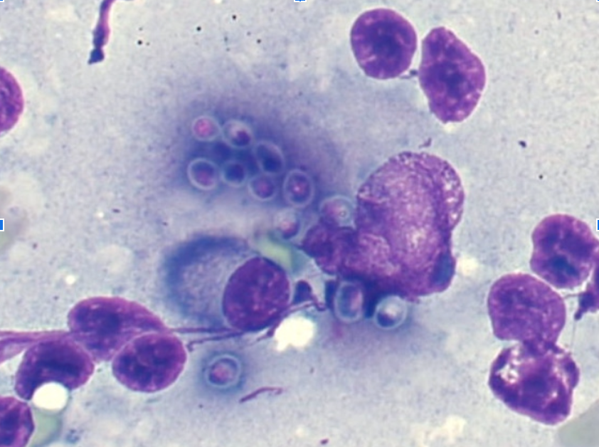
You have a 4-year-old canine patient with fever and enlarged popliteal lymph nodes. You aspirate one of the enlarged lymph nodes and see this. What is your diagnosis?

A

Histoplasmosis

B

Blastomycosis

C

Cryptococcosis

Confirm and Submit