check

LN Cytology Workshop Day 3 Quiz

Test yourself to see how much you learned!

If you did not attend the live session, you will receive 1 "anytime" RACE credit after passing this quiz with 70% or higher.

Click the button below to start.

Start

Question 1 of 5

Which of the following neoplasm types does NOT typically metastasize to lymph nodes.

A

Mast cell tumor

B

Carcinoma

C

Sarcoma (except histiocytic)

D

Malignant melanoma

Question 2 of 5

T/F: Low numbers of mast cells can be normal in lymph nodes.

A

True

B

False

Question 3 of 5

Cytologic diagnosis of lymphoma depends on:

A

The presence of three of more criteria of malignancy

B

The proportion of small to large lymphocytes

C

The presence of intracytoplasmic inclusions

Question 4 of 5

What would you expect metastatic squamous cell carcinoma to look like cytologically?

A

Individual cells with wispy borders and deeply basophilic (blue) cytoplasm.

B

Small round cell with a small amount of cytoplasm. It looks very similarly to lymphoma.

C

Clusters of epithelial cells (some individualized) with varying degrees of basophilic cytoplasm, some of which are glassy blue (from keratinization).

Question 5 of 5

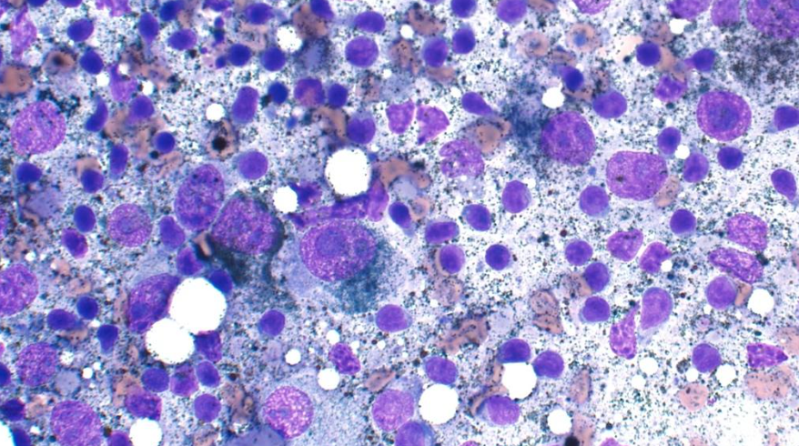
You have a patient with a single enlarged mandibular lymph node. You aspirate this lymph node and this is what you see. What is your diagnosis?

A

Lymphoma

B

Metastatic mast cell neoplasia

C

Metastatic melanoma

Confirm and Submit